- Condiciones
- Fractura de tobillo
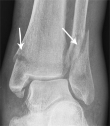
Fractura de tobillo Tobillo roto
Introducción
Los huesos del tobillo pueden romperse por diferentes sitios. Casi siempre es el resultado de un accidente o una caída. Esto provoca un dolor intenso e inmediato y la hinchazón hace que el tobillo se vuelva grueso.
El tobillo está formado por la tibia, el peroné y el hueso del tobillo (astrágalo). Las partes más bajas de la tibia y el peroné juntas desde la horquilla maleolar. El astrágalo está delimitado exteriormente por estos dos huesos. Llamamos a esta sección "articulación talocrural". En términos generales, el tobillo también incluye la "articulación subastragalina", situada debajo de la articulación talocrural.

Descripción de la afección
Una fractura de tobillo es la rotura de uno o varios huesos del tobillo. En muchos casos se rompe el hueso de la pantorrilla, pero también pueden producirse roturas en otras partes del tobillo. En casos graves, los huesos se rompen en varios lugares al mismo tiempo.
Causa y origen
Una fractura de tobillo casi siempre se produce como consecuencia de un accidente o una caída, o tras un esguince grave o un paso en falso. El paciente suele oír o sentir claramente que algo se rompe.
Signos y síntomas
- Dolor intenso en el tobillo.
- Dolor por presión en el hueso (roto).
- Los movimientos del tobillo son dolorosos.
- El tobillo está hinchado (hematoma).
- Por lo general, el paciente es incapaz de soportar peso sobre el tobillo (es imposible caminar más de 4 pasos sobre el tobillo afectado).
Diagnóstico
El diagnóstico se confirma mediante una exploración física y una radiografía.
Tratamiento y recuperación
Muchas fracturas se tratan con una escayola. Suele tardar entre 4 y 6 semanas. En algunos casos puede ser necesaria una intervención quirúrgica. Durante la operación, los huesos rotos se colocan correctamente y se fijan con tornillos y placas.
Más información
Puede comprobar sus síntomas mediante el reconocimiento fisioterapéutico en línea o pedir cita en una consulta de fisioterapia de su zona.
Referencias
Cleland, J.A. & Koppenhaver, S. (2011) Netter's orthopaedic clinical examination: an evidence-based approach 2nd ed. Philadelphia: Saunders Elsevier.
Schreuder, H.W.B. (2007) De voet. De basis voor staan en gaan Nijmegen: Thieme.